Adolescente con placa costrosa en rodilla izquierda.
Palabras clave:
tuberculosis cutánea, prueba terapéutica, cutaneous tuberculosis, therapeutic trial,Resumen
La tuberculosis ha sido un problema de salud pública desde
tiempos remotos; actualmente ha recobrado importancia debido
a la pandemia del VIH, al creciente número de personas en
tratamiento inmunosupresor por diversas causas, las inmigraciones
y el surgimiento de cepas multiresistentes. Los autores describen
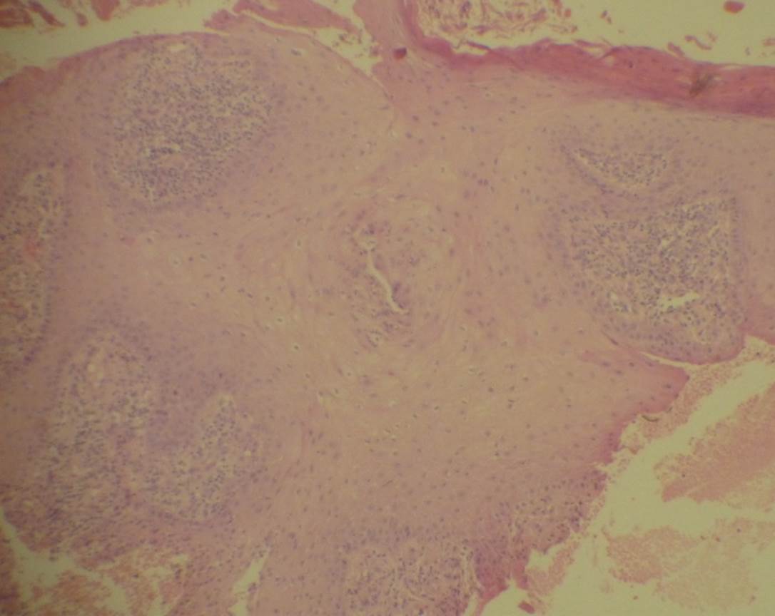
un caso de tuberculosis cutánea en rodilla izquierda en un adolescente
masculino de 15 años, cuyo diagnóstico se realizó a través
de un hallazgo histopatológico en la biopsia incisional de granuloma
por agente vivo y prueba terapéutica.
Palabras clave: tuberculosis cutánea, prueba terapéutica.
Diagnosis:
Teenager with scabby plaque on left knee
Abstract
Tuberculosis has been a public health problem since ancient
times; now it has regained importance due to the HIV pandemic,
the growing number of people receiving immunosuppressive therapy
for different pathologies, immigration, and the emergence of
multidrug-resistant pathogens. The authors describe a case of cutaneous
tuberculosis on left knee in a 15 year old male, whose diagnosis
was made by the histopathological finding in the incisional
biopsy of a live agent granuloma and a therapeutic trial.
Referencias
Concha, M et al. Tuberculosis cutánea: reporte de dos casos y revisión de la literatura. Rev. chil. infectol.[online]. 2011; 28: 262-8.
Dubrous P, Alaoui H, N’Dounga Mikolo B et al. Diagnosis of tuberculosis in developing countries: new perspectives. Med Trop (Mars). 2009;69:618-28.
Handog E B, Gabriel T G, Pineda R T. Management of cutaneous tuberculosis. Dermatol Ther 2008; 2: 154-61.
Mataix J, Botella R, Herrero A et al. Tuberculous primary complex of the skin. Int J Dermatol 2008; 47: 479-81.
Saritha M, Parveen B A, Anandan V et al. Atypical forms of lupus vulgaris - a case series. Int J Dermatol 2009; 48 : 150-3.
Bravo F G, Gotuzzo E. Cutaneous tuberculosis. Clin Dermatol 2007; 25: 173-80.
Derese Y, Hailu E, Assefa T et al. Comparison of PCR with standard culture of fine needle aspiration samples in the diagnosis of tuberculosis lymphadenitis. J Infect Dev Ctries. 2012;6: 53-7.
Panzarelli A. Tuberculosis cutánea. Derm venez 1998;36:45-51.
Descargas
Archivos adicionales
Publicado
Número
Sección
Licencia
Publicado por la Sociedad Venezolana de Dermatología Médica, Quirúrgica y Estética

