Pénfigo vegetante: presentación de un caso y revisión de la literatura.
Palabras clave:
pénfigo, pénfigo vegetante, pénfigo vulgar, Hallopeau, NeumannResumen
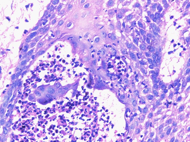
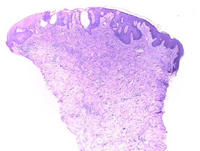
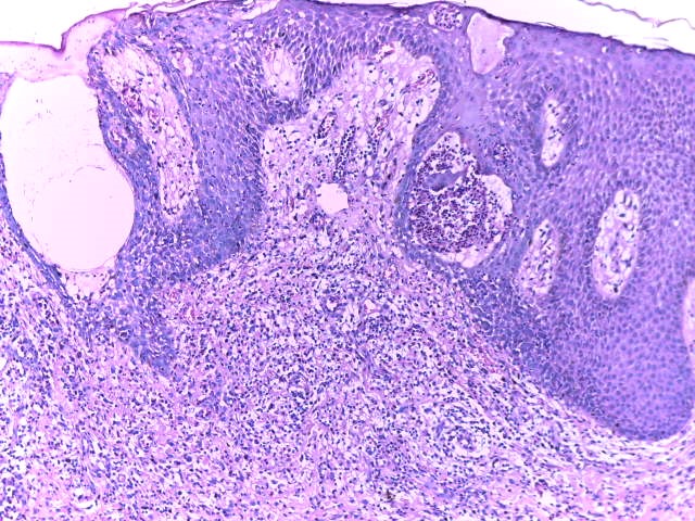
El pénfigo vegetante, es una variante rara del pénfigo vulgar (PV) corresponde a 1-2 % de los casos, las características clínicas e histopatológicas habitualmente permiten la diferenciación en 2 subtipos descritos: Neumann y Hallopeau, pero en ocasiones pueden presentarse de forma simultánea o secuencial. Las lesiones adoptan un aspecto vegetante afectando cualquier área de la piel, pero predomina en áreas intertriginosas y mucosa oral. Presentamos el caso de una paciente de 31 años de edad, con 1 año de evolución de placas eritematosas con vesículas y pústulas en la superficie cutánea, simulando dermatosis eccematosas que no permitían realizar el diagnóstico. Luego de la suspensión del tratamiento con esteroides sistémicos que recibía, se logró establecer el diagnóstico definitivo al evidenciar las características clínicas del pénfigo vegetante y corroborar con el estudio histológico e inmunofluorescencia directa.
Pemphigus vegetans: a case report and literature review
Summary
Pemphigus vegetans, is a rare variant of pemphigus vulgaris (PV) corresponding to 1-2% of cases, clinical and histopathological characteristics usually allow the differentiation into 2 described subtypes: Neumann and Hallopeau, but sometimes they can present simultaneously or sequentially. Lesions adopt a vegetative appearance, affecting any area of the skin, but predominate in intertriginous areas and oral mucosa. We present the case of a 31-year-old female, who presented clinical manifestations of both variants, making their differentiation impossible, simulating eccematous dermatosis. After suspension of systemic steroids, final diagnosis was made based on clinical, histologic and direct immunofluorescence studies.
Key words: pemphigus, vegetans pemphigus, pemphigus vulgaris, Hallopeau, Neumann
Referencias
Mergler R, Kerstan A, Schmidt E, et al. Atypical clinical and serological manifestation of Pemphigus Vegetans: A case report and Review of literature. Case Rep Dermatol. 2017 [citado 7 sep 2020];9:121-130. Disponible en: https://www.karger.com/Article/FullText/468919. doi: 10.1159 / 000468919
Ruocco V, Ruocco E, Caccavale S, et al. Pemphigus vegetans of the Folds (Intertriginous Areas). Clin Dermatol.2015;33(4):471-6.
Markopoulos A, Antoniades D, Zaraboukas T. Pemohigus vegetans of the oral cavity. Int. J. Dermatol.2006;45(4):425-428.
Pulido D, Angulo D. Pénfigo vegetante del tipo Neumann. Presentación de un caso. Dermat. Cosmet. Méd. Quir. 2015;13(1):47-49.
Amagai M. Pénfigo. En: Bolognia J, Schaffer J, Cerroni L. (ed). Dermatología. 4ta ed. ElSevier. 2019. p:494-509.
Bruno E, Gubiani M, Madrid M, et al. Pénfigo vegetante tipo Hallopeau: comunicación de un caso. Arch. Argent. Dermatol. 2012;62:244-247.
Razzaque A, Blose D. Phemphigus vegetans Neumann Type and Hallopeau type. Int J of Dermatol. 1984.23(2):135-141.
Calonje E (ed) McKee’s pathology of the skin with clinical correlations. 5th ed. ElSevier.2020. p:176-177.
Hammers C, Schmidt E, Borradori L. Pemphigus vegetans. En: Katsambas A, et al (ed). European handobook of dermatological treatments. Springer – Verlag. Berlin. 2015.p:701-705.
Amber K, Valdebran M, Grando S. Non-Desmoglein Antibodies in patients with pemphigus vulgaris. Front. Immunol. 2018;9:1190.
Hashizume H, Iwatsuki k, Takigawa M. Epidermal antigens and complement-binding anti-intercellular antibodies in pemphigus vegetans, Hallopeau type. Br J of Dermatol. 1993;129(6): 739–743.
Murrell D, Peña S, Joly P, et al. Diagnosis and management of Pemphigus: recommendations by an international panel of experts. J Am Acad Dermatol. 2018. doi:10.1016/j.aad.2018.02.021
Descargas
Archivos adicionales
Publicado
Número
Sección
Licencia
Publicado por la Sociedad Venezolana de Dermatología Médica, Quirúrgica y Estética

