Piel de naranja en cuello y axilas
Resumen
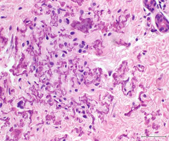
Se trata de un femenino de 35 años, quien inició enfermedad actual a los 15 años, caracterizada por la aparición pápulas amarillas con aspecto de piel de naranja, en cuello y axilas. En la biopsia de piel se observaron la presencia de fibras elásticas fragmentadas, engrosadas y basofílicas en dermis reticular. Los exámenes paraclínicos estaban dentro de los límites normales, ecocardiograma transtorácico sin alteraciones y la fundoscopia reveló estrías angioides. Nuestro caso se concluyó como Pseudoxantoma elástico, por cumplir con los todos los criterios mayores. Se indicó emolientes y fotoprotección; seguimiento por oftalmología, cardiología y genética.
Palabras claves: pseudoxantoma elástico, piel de naranja, estrías
angioides.
Orange skin on the neck and armpits
Summary
The elastic pseudoxanthoma is a genetic disorder of the connective tissue that usually is transmitted in a dominant automatic recessive way. It is characterized by elastic fibers fragmentation and subsequent calcification affecting the dermis, blood vessels and the Bruch membrane of the retina. The low incidence of this pathology justifies the presentation of this case, in
which yellow papules lesions with location in the neck and armpits were evidenced, in addition to the angioid strias in the retina. The diagnosis was confirmed by skin biopsy and indicated symptomatic treatment with follow-up by cardiology, ophthalmology and by our service.
Key words: Elastic pseudoxanthoma, orange peel, angioid stria.
Referencias
Vences M, Ramos A, Guarneros A et al. Pseudoxantoma elástico. Dermatología Rev Mex 2008; 52: 268-72.
Sabater-Marco V, Sanz-Motilva V, Botella-Estrada R. Pseudoxanthoma Elasticum-Like Papular Eruption. Am J Dermatopathol 2017; 39:e73–e74.
Germain D. Pseudoxanthoma elasticum .Orphanet J Rare Dis. 2017; 12(1):85.
Sosa L, Soto J. Pseudoxantoma elástico (presentación de 2 casos y revisión de la literatura). SV de Dermatología. 1967; 6:107-117.
Moitra K, Garcia S, Jaldin M et al. ABCC6 and Pseudoxanthoma Elasticum: The Face of a Rare Disease from Genetics to Advocacy. Int J Mol Sci. 2017;18: 1488.
Iwanaga A, Okubo Y, Yozaki M et al. Analysis of clinical symptoms and ABCC6 mutations in 76 Japanese patients withpseudoxanthoma elasticum. J Dermatol. 2017; 44(6):644-650.
Valenzuela A, Súnico N, Rodríguez Z, et al. Pseudoxantoma Elástico. A propósito de un caso. Piel Latinoamericana. 2007. Http://piel-l.org/blog/493
Descargas
Archivos adicionales
Publicado
Número
Sección
Licencia
Publicado por la Sociedad Venezolana de Dermatología Médica, Quirúrgica y Estética

